Smile Gallery
Welcome to our smile gallery!
Our smile gallery is where we showcase patients and their dental treatments, highlighting the artistry and expertise of our dedicated dental professionals.
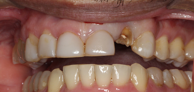
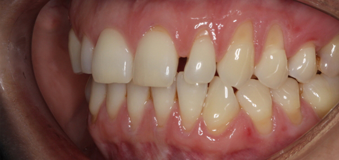
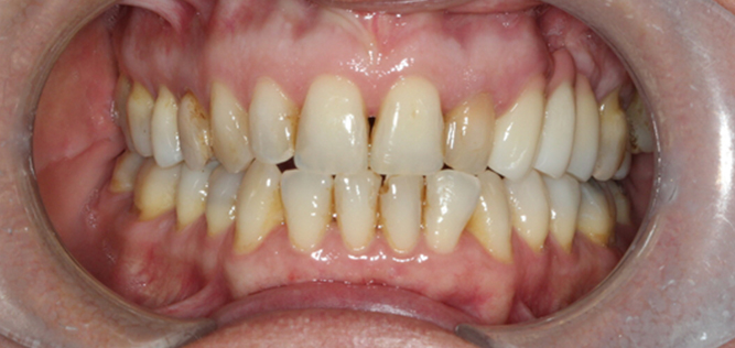
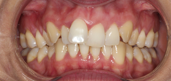
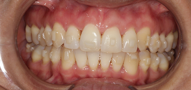
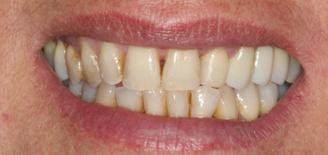
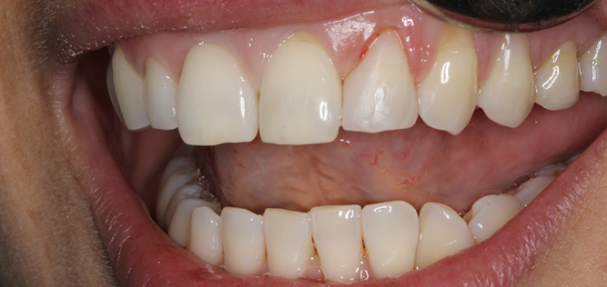
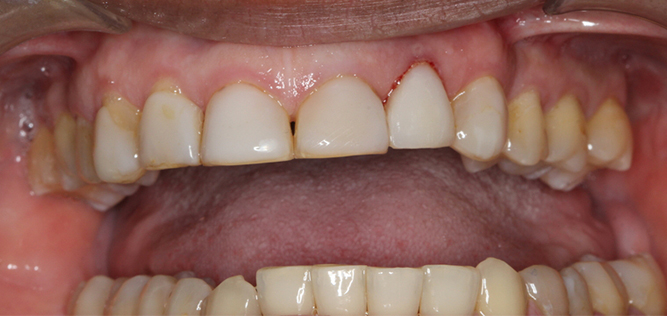
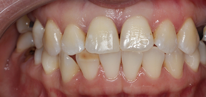
Restorative Work
Restore strength, comfort and confidence. Our restorative dentistry repairs worn, broken or missing teeth with long-lasting solutions—crowns, bridges, implants, inlays/onlays and full-mouth rehabilitation—designed to look natural and feel stable in everyday life.
Book an appointment with Dr. Carillo today to restore the natural beauty of your smile with our expert dental care.






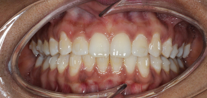
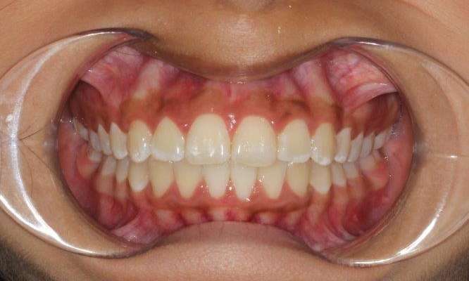
Clear Aligner
Straighter teeth, comfort and confidence. Our clear aligner therapy uses a series of virtually invisible, removable trays to gently correct crowding, spacing, rotations and bite concerns—digitally planned for accuracy, comfortable to wear and easy to live with (wear 20–22 hrs/day; change trays every 1–2 weeks).
Book an appointment with Dr. Carillo today to preview your new smile with a 3D simulation and start your discreet straightening journey.



Teeth Whitening

Straight Teeth with Braces
Our dentists used Damon braces to align this patient’s smile in only 16 months!
Now, they can enjoy a confident smile, easier brushing and flossing, and correct bite alignment for chewing with ease.
If you’re interested in learning more about braces in Russell Lea, you can arrange a booking with one of our dentists for an evaluation.

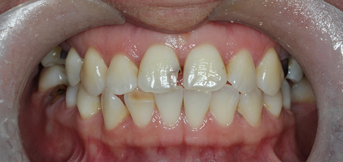
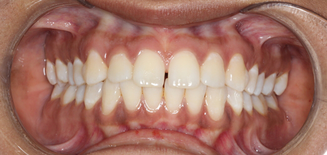
Tooth Correction with Myobrace
Dr. Carillo treated this young patient using Planas tracks and Myobrace for the first phase of orthodontic treatment to correct the bite. This shows our starting point and a progress image with treatment still ongoing.
Some children can benefit from early or interceptive orthodontic treatment. That’s why we recommend age eight for the first orthodontic evaluation. Book a consultation with us today

Straight Teeth with Damon Braces
This patient enjoyed their newly straightened teeth and corrected bite after 24 months of orthodontic treatment with Damon braces.
Now they can chew with ease and smile with confidence!
The first step is booking an evaluation with Dr. Carillo.

Straight Teeth Using Damon Braces
Another straightened, beautiful smile in just 16 months with Damon Braces! This patient can also enjoy improved chewing function and more accessible home care after strengthening their teeth.
The first step is booking an evaluation with one of our dentists.

Expansion and braces
This patient presented with tooth crowding that contributed to an open bite. Our dentists used expansion and Damon braces to correct their bite and improve their smile. The case took around 24 months to complete.
The first step is booking an evaluation with one of our dentists to learn more about orthodontics in Russell Lea.

Professional Dental Clean
Our patient came in for a professional tooth cleaning service. Before the treatment, plaque and tartar build-up had dulled their smile and posed potential risks to their oral health. After just one session, their teeth were visibly brighter, and their gums healthier.
Preventive Dentistry and General Dentistry help prevent gum disease, cavities, and bad breath, ensuring a confident, radiant smile.
The first step is booking an appointment with Dr. Carillo for a thorough evaluation and personalized care plan.

Veneer Repair with Composite
Our patient came to us with a broken veneer, worried about the appearance of their smile and the potential cost of repair. We were able to offer a cost-effective solution by repairing the tooth with high-quality composite material. The result? A seamless, natural-looking restoration that restored their smile and confidence without breaking the bank.
Book an appointment with Dr. Carillo today to discuss affordable, effective solutions for your dental needs.

Decayed Tooth Restored with Composite Resin
Our patient arrived with a severely decayed tooth, fearing it might need extraction. We preserved and restored the tooth using durable composite resin and a result gave they full smile makeover. The tooth now looks and functions like new, saving the patient from the discomfort and expense of more invasive treatments.
Schedule an appointment to explore effective, preservation-focused treatment options tailored to your needs.

Discoloured Filling Restored
A patient came to us with a discoloured filling that was affecting the appearance of their smile. We proceeded with composite bonding, using state-of-the-art materials, we replaced the old filling with a new, natural-looking composite resin. The result is a flawless restoration that blends seamlessly with the surrounding teeth.
Book an appointment with Dr. Carillo today to restore the natural beauty of your smile with our expert dental care.